УЗД
-
Категорія: Діагностика
УЗД (ультразвукове дослідження) - це процедура дослідження органів людського тіла за допомогою ультразвуку, здатного проникати крізь живі тканини. УЗД допомагає спостерігати і досліджувати форму, положення, структуру, величину і рух різних органів, а також діагностувати багато захворювань і спостерігати за їх розвитком.
Медичний центр "Алерголог" пропонує пройти УЗД обстеження на сучасному "кольоровому апараті" з функцією енергетичного доплера.
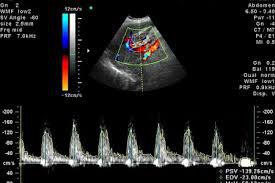
Дізнатись вартістьЩо таке Доплер і для чого він потрібен?
Доплер вимірює як звукові хвилі відбиваються від рухомих об'єктів. Комп'ютер обробляє інформацію і створює двомірне кольорове зображення, що показує, чи є труднощі в кровотоці, наприклад, через відкладення холестерину - атеросклеротичних бляшок.
Сучасні апарати з постійно-хвильовим, імпульсно-хвильовим і кольоровим доплером об'єднують інформацію, що отримується при всіх цих видах досліджень. В В-режимі можна побачити структуру судинної стінки. Доплер показує, як тече кров по судинах вимірює швидкість потоку крові. УЗДГ також може бути корисно для установки діаметра посудини, а також величини стенозу (закупорки) кровоносної судини.
Традиційне УЗД використовує безболісні звукові хвилі, нечутні людським вухом, які відбиваються від судин. Ультразвукове дуплексне може використовувати зображення, які закодовані кольором для того, щоб показати доктору, де кровотік сильно блокований, а також швидкість і напрямок потоку крові. Ваш лікар може рекомендувати Доплер, щоб полегшити діагностику або досліджувати стану, які впливають на судини. Ці стани включають:
- атеросклероз сонних артерій;
- тромбоз вен нижніх і верхніх кінцівок;
- захворювання артерій ніг;
- захворювання артерій рук;
- аорто-клубові оклюзивні захворювання;
- варикозна хвороба;
- аневризми великих судин черевної порожнини або кінцівок.


